在帕金森病的治療領域,一種新的希望正被廣泛討論。當傳統藥物難以阻止疾病進展時,患者與家屬將目光投向了干細胞療法——它被寄予厚望,不只為了緩解癥狀,更為了修復那些受損的神經元,從根源上改變病程。
但這是否能成為現實?層出不窮的媒體報道與科研進展,究竟意味著真正的突破,還是過度的期待?本文將從作用原理、最新臨床證據與現存挑戰出發,系統剖析干細胞療法對帕金森病的真實療效。

干細胞療法對帕金森病真的有效嗎?基于3項最新臨床證據的權威解答
一、帕金森病的本質:為什么會出現震顫、僵硬、動作變慢?
帕金森病的病理核心,是中腦“黑質”區域內多巴胺能神經元的進行性喪失。這些神經元負責分泌多巴胺——一種協調和控制身體運動的關鍵神經遞質。隨著神經元大量死亡,大腦運動控制回路因多巴胺嚴重不足而陷入功能紊亂,直接導致了靜止性震顫、肌肉僵硬和動作遲緩等經典運動癥狀。
然而,疾病的影響遠不止于此。抑郁、睡眠障礙、認知衰退等非運動癥狀同樣普遍,且同樣棘手。遺憾的是,現有的主流藥物(如左旋多巴)僅能在早期替代多巴胺、緩解癥狀,既無法阻止神經元的持續死亡,也不能逆轉已有的損傷。這構成了當前治療的根本瓶頸。
二、為什么大家越來越關注干細胞治療帕金森病?
正是源于上述“治標不治本”的治療困境,醫學界將目光投向了更具根本性的解決方案。干細胞療法的目標直指疾病源頭:它旨在替代和補充大腦中喪失的多巴胺能神經元,理論上具有修復神經回路、長期穩定病情的潛力。
這一從“癥狀管理”轉向“神經修復”的療法定向,與傳統藥物形成了根本區別。因此,盡管仍處于發展階段,干細胞療法已被許多研究者、醫生和患者視為一項可能改變疾病進程的潛在突破,承載著超越現有療法的深切期待。
三、干細胞療法的原理:為何它被認為有希望?
干細胞具有兩個關鍵能力:
- 分化成多種細胞,包括多巴胺神經元
- 分泌神經營養因子,改善神經微環境,促進修復
因此,干細胞治療帕金森病的設想是:
- 將干細胞植入患者大腦病變區域
- 使其替代死亡的神經元,重新產生多巴胨
- 同時保護仍存活的神經細胞,延緩繼續退化
如果這種方式成功,那么它不僅是改善癥狀,而是真正從源頭修復神經系統,其意義遠超過藥物和DBS。
因此它被稱為“最有可能改變帕金森病治療格局的方向”。
四、最新臨床研究進展:效果到底怎么樣?真實數據說話
I期臨床試驗:干細胞移植在重度帕金森病患者中展現多維度改善
2024年7月22日,中國人民解放軍聯勤保??障部隊第921醫院在國際期刊《軍事醫學研究》上發表了一篇關于《TGF-β1介導缺氧預處理的嗅粘膜間充質干細胞改善帕金森病模型和患者的神經功能恢復》的臨床研究成果。[1]

研究展示了I期首次人體臨床試驗中一組患者的研究結果,該試驗評估了將低氧預處理的嗅黏膜間充質干細胞(hOM-MSC)移植到重度帕金森病患者脊柱內移植的安全性和有效性。共有5名患者接受了hOM-MSCs椎管內植入,移植后進行血清和腦脊液分析,隨后的隨訪期為1至6個月。
病例1:是一名67歲患帕金森病(PD)20年的女性。
- 接受hOM-MSCs植入后,左旋多巴口服維持劑量從1.0g/d降至0.5g/d,情緒、日常生活、運動和治療并發癥改善。
- 治療1個月后,UPDRS總分從79分降至51分,Hoehn和Yahr評分量表從3級降至2級,Schwab和England日常活動量表從50%恢復到70%;
- 6個月隨訪時,UPDRS總分為69分,Hoehn和Yahr量表為2.5級,Schwab和England量表為60%,且手術耐受性良好,術后無嚴重不良事件。
病例2:是一名79歲患PD 10年的男性。
- 植入hOM-MSCs后,左旋多巴口服維持劑量從0.75g/d降至0.25g/d,情感、日常活動和運動功能增強。
- 治療1個月后,UPDRS總分從89分降至61分,Hoehn和Yahr評分量表從3級提高到2級,Schwab和England日常活動量表恢復率從50%提升到70%;
- 術后6個月隨訪,UPDRS總分為78分,Hoehn和Yahr量表為3級,Schwab和England量表為60%,手術耐受性極好且無嚴重不良事件。
病例3:是一名67歲患PD 20年的男性。
- 植入hOM-MSCs后,左旋多巴口服維持劑量從1.0g/d降至0.25g/d,情緒、生活活動、運動和治療并發癥明顯改善。
- 治療1個月后,UPDRS總分從85分降至59分,Hoehn和Yahr評分量表從3級提高到2級,Schwab和England日常活動量表從50%恢復到70%;
- 術后6個月隨訪,UPDRS總分為80分,Hoehn和Yahr量表為3級,Schwab和England量表為50%,手術耐受性極好且無嚴重不良事件。
病例4:是一名71歲患PD 4年的男性。
- 植入hOM-MSCs后,左旋多巴口服維持劑量從1.5g/d降至0.25g/d,情緒、生活活動、運動和治療并發癥改善。
- 治療1個月后,UPDRS總分從101分降至55分,Hoehn和Yahr評分量表從4級提高到2級,Schwab和England日常活動量表恢復率從30%提升到60%;
- 術后6個月隨訪,UPDRS總分為81分,Hoehn和Yahr量表為3級,Schwab和England量表為50%,對手術耐受性良好且無嚴重不良事件。
病例5:是一名62歲患PD 13年的女性。
- 植入hOM-MSCs后,左旋多巴口服維持劑量從1.5g/d降至0.5g/d,情緒、日常生活和運動測試改善。
- 治療1個月后,UPDRS總分從75分降至53分,Hoehn和Yahr評分量表從3級提高到2級,Schwab和England日常活動量表從50%恢復到70%;
- 術后6個月隨訪,UPDRS總分為70分,Hoehn和Yahr量表為3級,Schwab和England量表為60%,對手術耐受性良好且無嚴重不良事件。
綜上所述,在本次I期臨床研究中,hOM-MSCs移植在5名帕金森病患者顯示出高成功率的證據:患者在安全性、運動功能改善、日常生活能力提升及藥物依賴降低等多個關鍵維度均獲得實質性改善。
延世大學研究:人胚胎干細胞衍生神經元,實現精準腦內移植
2025年10月14日,延世大學Severance研究團隊公布了亞洲地區首次、全球范圍內第二次報道的通過移植源自人胚胎干細胞的A9型多巴胺前體細胞(A9-DPC),成功實現了對中重度帕金森病患者的精準治療。[2]

這項單中心、開放標簽的臨床試驗歷時12個月,納入12名病程超過5年的帕金森病患者。通過立體定向手術,將細胞精確移植至患者雙側殼核區域,其中低劑量組(315萬細胞)和高劑量組(630萬細胞)各6例。
研究數據顯示,干細胞移植在安全性方面表現良好。整個試驗中僅出現少量輕微不良反應,多與免疫抑制藥物相關,無嚴重并發癥或細胞異常增殖。影像學結果也證實,移植細胞精準分布,無異常遷移或腫瘤形成。
療效方面,患者在術后12個月運動功能平均提升14分以上,高劑量組效果更為顯著。日常活動能力、生活質量及藥效持續時間均有明顯改善。分子影像學進一步驗證了這一變化:移植區域的多巴胺轉運體活性顯著增強,說明移植細胞成功整合進神經系統,部分恢復了多巴胺通路功能。
組織分析顯示,移植的細胞已在宿主體內分化為成熟的多巴胺神經元,并與原有神經網絡形成有效連接。這一結果標志著人源胚胎干細胞衍生細胞治療帕金森病的安全性與可行性得到初步驗證,為未來大規模臨床應用奠定了基礎。

該研究的最大突破,在于首次系統驗證了人胚胎干細胞衍生神經元治療帕金森病的可行性與安全性。與過去依賴胎兒組織移植不同,這一方案在倫理、來源及生產標準上都實現了突破。采用新鮮細胞移植的策略,也最大限度地保留了細胞活性。科學的劑量設計,源自前期動物實驗的積累,使得療效更具可靠性。
全球首例:從“藥物依賴”到“功能性治愈”帕金森病患者的治療過程
2025年10月19日,一位記者采訪了全球首位被證實“功能性治愈”的帕金森病患者李女士——一位37歲的母親,長期與帕金森病抗爭。[3]
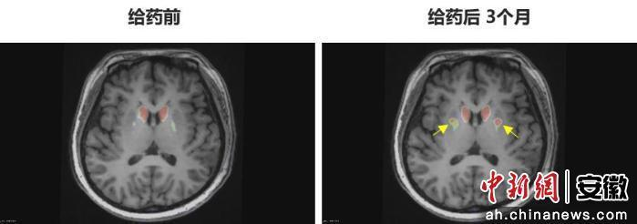
今年6月,李女士在中國科學技術大學附屬第一醫院接受了NCR201干細胞移植治療,該療法利用誘導多能干細胞(iPSC)衍生的多巴胺能神經前體細胞。三個月后,她成為全球首例“功能性治愈”的帕金森病患者。

“身體不僵硬了,像正常人一樣。”李女士笑著說。多年的抖動與“關期”徹底消失,她重新感受到身體的輕盈和心靈的自由。術后影像顯示,移植細胞已在腦內成功定植并發揮功能,醫生稱這些“亮點”是新生多巴胺能神經元的直接證據。
李女士回憶,她早在20多歲時就出現手抖、動作遲緩,卻輾轉多年才確診為遺傳型帕金森病。藥物只能暫時緩解癥狀,她一度陷入抑郁。“我想過放棄,但為了孩子,我必須試。”懷著這份信念,她決定接受創新干細胞移植手術。
術后一個月,她的失眠和抑郁癥狀明顯改善,三個月后完全擺脫藥物,運動功能恢復到健康水平。如今,她重新工作、備考自學考試,還能陪孩子打羽毛球、旅行。她笑著說:“我覺得人生重新開始了,希望更多患者能盡早嘗試這種治療,越早越好。”
李女士的經歷不僅見證了干細胞療法在帕金森病中的突破,也詮釋了生命的堅韌與希望。醫學的進步點亮了她的大腦,而勇氣與愛,讓她真正重獲新生。

詳情請瀏覽:2025干細胞療法治療帕金森病最新臨床指南(截至10月)
五、目前干細胞療法面臨的局限性與風險
綜上所述,干細胞治療帕金森病的臨床結果鼓舞人心,但我們必須清醒地認識到干細胞療法走向普及所面臨的一些挑戰:
細胞存活率低是首要技術難題。日本研究者指出,移植細胞中僅有一小部分最終能存活并發揮功能,低存活率是“亟待解決的大問題”。
個體差異問題日益凸顯。2025年《Cell Stem Cell》上發表的一項臨床前研究發現,即使是使用來自不同患者的自體干細胞制備的療法,在動物模型中的療效也存在顯著差異。[4]
產業化障礙不容忽視。從實驗室研究到規模化生產,細胞產品的質量控制、標準化和運輸保存都是必須解決的現實問題。
結語:對未來的判斷與態度
綜上來看,干細胞療法是否對帕金森病“有效”?答案是審慎但積極的:在嚴格的臨床試驗中,它已經展現出真實的改善潛力,也為未來的治療方式打開了新的可能性。
可以預見,未來 3–5 年將成為干細胞治療帕金森病加速突破的關鍵窗口期。對有需求的患者而言,保持關注權威醫療機構的臨床研究進展,選擇規范、合規的治療路徑,依然是最穩妥、最值得信賴的方向。
參考資料:
[1]Zhuo, Y., Li, WS., Lu, W.?et al.?TGF-β1 mediates hypoxia-preconditioned olfactory mucosa mesenchymal stem cells improved neural functional recovery in Parkinson’s disease models and patients.?Military Med Res?11, 48 (2024). https://doi.org/10.1186/s40779-024-00550-7
[2]Phase 1/2a clinical trial of hESC-derived dopamine progenitors in Parkinson’s diseaseChang, Jin Woo et al.Cell, Volume 0, Issue 0
[3]https://www.xkdbio.com/qyzx/1014.html
[4]Jeon J, Cha Y, Hong YJ, Lee IH, Jang H, Ko S, Naumenko S, Kim M, Ryu HL, Shrestha Z, Lee N, Park TY, Park H, Kim SH, Yoon KJ, Song B, Schweitzer J, Herrington TM, Kong SW, Carter B, Leblanc P, Kim KS. Pre-clinical safety and efficacy of human induced pluripotent stem cell-derived products for autologous cell therapy in Parkinson’s disease. Cell Stem Cell. 2025 Mar 6;32(3):343-360.e7. doi: 10.1016/j.stem.2025.01.006. Epub 2025 Feb 13. PMID: 39952239; PMCID: PMC11980241.
免責說明:本文僅用于傳播科普知識,分享行業觀點,不構成任何臨床診斷建議!杭吉干細胞所發布的信息不能替代醫生或藥劑師的專業建議。如有版權等疑問,請隨時聯系我。